蜂疗治疗股骨头坏死的方法

股骨头坏死病人去医院,得到的是需要手术置换人工股骨头的答复。哪儿坏了换哪儿的被动治疗方法本身就不符合中医的整体观。
一、疼痛。疼痛可为间歇性或持续性,行走活动后加重,有时为休息痛。疼痛多为针刺样、钝痛或酸痛不适等,常向腹股沟区、大腿内侧、臀后侧和膝内侧放射,并有该区麻木感。
二、关节僵硬与活动受限。患髋关节伸屈不利、下蹲困难、不能久站、行走鸭子步。早期症状为外展、外旋活动受限明显。
三、跛行。为进行性短缩性跛行,因髋痛及股骨头塌陷,或晚期出现髋关节半脱位所致。早期往往出现间歇性跛行,儿童患者则为更为明显。
四、体征。局部深压痛,内收肌点压痛,下肢发肿,4字试验阳性,A11is征阳性等,有的四肢短缩,肌肉萎缩等。
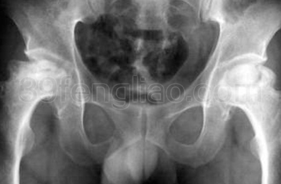
五、×线表现。骨纹理细小或中断、股骨头囊肿、硬化、扁平或塌陷。
病因:引起股骨头坏死的因素很多。主要有:创伤;药物:酒精;风、寒、湿和骨质疏松等。激素药物广泛应用以来,长期或大量应用激素,发病率呈上升趋势。同时,大量或长期饮酒造成酒精在体内蓄积,导致血脂增高和肝功能受损,血脂高则造成血粘稠度高、血流减缓,使血凝改变,因而可使血管堵塞,造成关节面组织的血液供应不上,而致坏死。其他因素基本同理。
发病机理,主要包括:动脉供血不足,静脉回流不畅,骨内压增高导致缺血,股骨头坏死。
现代医学的医治:股骨头坏死病人去医院,得到的是需要手术置换人工股骨头的答复。哪儿坏了换哪儿的被动治疗方法本身就不符合中医的整体观。问题的关键是要找到发病的症结,要解决供血和回流的问题,坏死部分才能慢慢复原。
另外,行置换术并不是一劳永逸之事,姑且不讲高额费用。不少病人术后出现人工股骨头提前损坏、松动,进一步塌陷,疼痛加剧等现象的可能性极大。一般1O年手术一次,这又是什么概念,这又意味着什么?甚至有的提前到3年就要再手术等。
蜂疗调治:穴位治疗,通过点穴加蜂产品能激活坏死部位的新生命力,同时,腹股沟动脉强制性供血到病灶区,并使之产生良性循环,则康复有望。点穴时,外用蜂胶、中药等渗透到穴位底部,有效产生抗炎、镇痛、通缬活血等作用。
主穴:臀四穴(激活坏死部位的生命力),腹股沟与动脉相交点(泵供血直到患部)。
配穴:肺俞、左心俞、膈俞。提高气血运行功能、心脏泵血功能,调整植物神经的正常行为,以达患部得以正常的自行营卫。
太渊(血之会)、血海(活血)、左脾俞、右肝俞、肾俞、大杼。强化脾肝的造血、藏血功能、舒筋益肾强骨,共凑提高免疫,促进早愈。
主穴中臀四穴包括臀中。髂前上棘至髂后上棘连线中点下二横指压胀处(亦可为:西医肌肉注射部位)。臀前(后):髋骨前(后)部压胀感处。梨点:环跳穴内斜上二横指(梨状肌点)压胀感处。临床发现,恰当地点压臀中穴有激活并畅通全身气血、营卫脏器之功,臀四穴更有自髂尖至脚尖的下肢哪里有病就通向哪里之殊效。
中成药的内服:药物治疗股骨头坏死的思路是降血脂、纤溶、抗炎和抗凝四项。抗股骨头坏死的中成药主要成分为:人参、当归、红花、白芍、地龙、杜仲、鳖甲、陈皮等,加之蜂毒、蜂胶的透过皮肉吸收。经药物学研究并临床证实具有明显抗炎、消肿、镇痛作用,改善血液循环及微循环的功效,明显降脂,可使骨膜成骨细胞活跃,骨痂生长,促进骨坏死修复。
治疗股骨头坏死的关键在于如何修复因缺血而坏死的骨质。以上穴位的合理调整加外用以及对症的中成药的内服,症状迅速改善,促进了病情尽快痊愈。
特别提醒:
1.本网收集的资料仅供患者与家属了解疾病与基本治疗原则、方法,具体治疗应遵医嘱。本网站内容仅供参考,不足之处,敬请谅解。
2、[39蜂疗网]在线专稿,转载请注明“39蜂疗网”。媒体合作请联系:010-87667632
本文来源: ( 编辑:lujiumei)
标签:
已有 次访问,共0人喜欢 【我喜欢】

蜂疗网
蜜蜂
蜜蜂
蜜蜂
湖南娄底蜂疗人 曾伟
江苏如皋蜂疗人 刘红
江苏丹阳蜂疗人 陆九妹
宣城市祥云养蜂专业合作社
宜黄远森蜂业合作社
江西汪家养蜂场
蜂胶
蜂蜜
蜂花粉
中国蜂疗抗癌第1人












