神经系统解剖图!(中医也要懂些解剖)
神经系统由中枢部分及其外周部分所组成。
中枢部分包括脑和脊髓,分别位于颅腔和椎管内,两者在结构和功能上紧密联系,组成中枢神经系统。
神经系统是由脑、脊髓、脑神经、脊神经、和植物性神经,以及各种神经节组成。能协调体内各器官、各系统的活动,使之成为完整的一体,并与外界环境发生相互作用
脑部
脑干

脑室系统

大脑供血动脉3D扫描CT成像

磁共振成像&人脑模型对比

人脑区域图

神经分布图

小脑皮质结构

小脑

脑岛

基底核

海马和穹窿

各种剖面图
















12对颅神经各自对应的脑区

形象记忆交感神经与副交感神经系统

几种常见致死性脑病的CT表现

脑损伤

不同部位脑病的瞳孔变化

常见的作用于中枢神经系统的药品

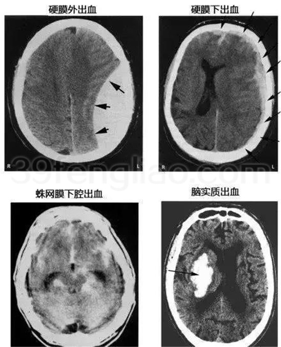
各种颅内出血

几种类型脑出血的CT表现

急性颅内高压所致脑疝的分型

颅顶层次

面神经—— 一巴掌就能记住

脑脊液循环

神经病变时瞳孔对光的反射

动眼神经、滑车神经和外展神经损伤的鉴别

头痛困扰,你属于哪一种

脊柱
外周部分包括12对脑神经和31对脊神经,它们组成外周神经系统。外周神经分布于全身,把脑和脊髓与全身其他器官联系起来,使中枢神经系统既能感受内外环境的变化(通过传入神经传输感觉信息),又能调节体内各种功能(通过传出神经传达调节指令),以保证人体的完整统一及其对环境的适应。
神经系统的基本结构和功能单位是神经元(神经细胞),而神经元的活动和信息在神经系统中的传输则表现为一定的生物电变化及其传播。
例如,外周神经中的传入神经纤维把感觉信息传入中枢,传出神经纤维把中枢发出的指令信息传给效应器,都是以神经冲动的形式传送的,而神经冲动就是一种称为动作电位的生物电变化,是神经兴奋的标志。
脊神经

感觉神经的节段性分布






腰穿的局部解剖

左右脑损伤特点比较

腰椎神经对应的体表感觉区域

腕管综合征(上)与肘管综合征(下)的麻木、疼痛区域

三种手部神经损伤的特征性表现

手的神经支配




联系我们: 第二届世界蜂疗大会组委会
吴老师 138-1126-3153(微信同号)
宋老师 152-1078-2736(微信同号)
卓老师 152-0107-3223(微信同号)
论文投稿邮箱:120@39fengliao.com
网址: www.39fengliao.com www.39fengliao.org

39蜂疗网是中国蜂疗行业权威门户网,面向蜂疗专家、蜂疗医院、蜂疗从业者及蜂疗爱好者,提供传统中医学、针灸学、蜜蜂学、蜂疗学研究、技术、保健等领域的互联网线上线下服务。肩负“世界中医药学会联合会蜂疗专业委员会、中国民族医药学会蜂疗分会的国家级两大医疗学会秘书处工作”和蜂疗人才培养重任!
特别提醒:
1.本网收集的资料仅供患者与家属了解疾病与基本治疗原则、方法,具体治疗应遵医嘱。本网站内容仅供参考,不足之处,敬请谅解。
2、[39蜂疗网]在线专稿,转载请注明“39蜂疗网”。媒体合作请联系:010-87667632
本文来源: ( 编辑:liwanyao)
已有 次访问,共0人喜欢 【我喜欢】

蜂疗网


蜜蜂
蜜蜂
蜜蜂
湖南娄底蜂疗人 曾伟
江苏如皋蜂疗人 刘红
江苏丹阳蜂疗人 陆九妹
宣城市祥云养蜂专业合作社
宜黄远森蜂业合作社
江西汪家养蜂场
蜂胶
蜂蜜
蜂花粉
中国蜂疗抗癌第1人





京公网安备 11010502049479号







