蜂毒疗法的治疗作用
2015-2-27 15:26:13
蜂毒疗法是借助工蜂足针分泌的蜂毒进行治疗,蜂针本身真是巧夺天工,可以与最先进的注射器具相比拟。蜂针刺甚至于不用消毒.也不容易引起皮肤感染。
-
患有脂肪肝,饮食应注意什么?
一般患者的每日热量摄取需要比正常建议量少200至300大卡,而肥胖患者则需降低500大卡。例如:一碗饭为270大卡,每餐可以减少三分之一碗至半碗的饭。…2021-05-21 09:26:39
-
帕金森病吞咽异常的中医针灸治疗
研究表明使用中医中药以及针灸治疗PD是安全有效的,针刺治疗有助于修复神经环路以改善PD患者的吞咽功能。本研究观察针灸辅助吞咽功能训练治疗PD患者吞咽障碍的临床疗效,现报告如下。…2021-05-19 09:55:25
-
激活免疫力的9个办法
在季节交替时,人们易出现因工作压力大、睡眠不足而导致的荨麻疹、带状疱疹等与免疫力下降相关的疾病,此时,一定要保证充足睡眠。…2021-05-19 09:50:37
-
眼前如有“飞蚊”症状需警惕
其实,飞蚊症指眼前见黑点飞舞,犹如蚊子飞舞。在光线明亮或白色背景衬托下,更为明显。有飞蚊症的人多可以描绘出它们的各种不同形状,如点状、丝状、串珠状、钥匙圈状等五花八门。当人疲倦的时候,会觉得蚊子移动的特别明显,可能伴闪光感。…2021-05-17 11:23:29
-
高含糖饮料会增加大肠癌的风险
人工甜味剂、加糖软饮料的健康危害已经很多,而这类危害的效果有很大的滞后性,比如对大肠癌风险的影响。减少糖饮料摄入,预防大肠癌,有必要未雨绸缪,早做干预,不能等进入肿瘤高发年龄再开始注意。
…2021-05-17 11:16:09
-
脑发育不良怎么办?
多吃对于脑细胞有增益的水果及食物,例如樱桃,桂圆,牛肉和兔肉。这些水果食物不但可以增强体质、记忆力,还可以补脑益智,消除脑部疲劳。牛肉中含有氨基酸和卵磷脂,有效促进大脑发育,补充脑功能,提高孩子的智力。
…2021-05-13 09:39:04
-
其实身体疼痛与器官有关
对于大多数存在胸口痛的人来说,一般因为冠心病或者是其他心脏疾病。痛感还会扩散到左臂、肩胛骨、颈部。
…2021-05-13 09:34:52
-
肌肉骨骼系统慢性疼痛管理共识
肌肉骨骼系统慢性疼痛的治疗包括药物治疗、物理治疗、松弛疗法、心理治疗等,但是均不能达到令人非常满意的效果[5]。国内外对慢性疼痛认识度、临床实践等存在一定的差异。因此,有必要制定完善、有效、规范化、基于生物-心理-社会学因素等学科的肌肉骨骼系统慢性疼痛管理共识,以更好地…2021-05-12 10:35:01
-
果糖与痛风的关系
果糖是一种单糖,它虽不含嘌呤,却是痛风的帮凶。首先,果糖在肝脏代谢的过程中,会消耗大量的ATP 和磷酸盐并产生二磷酸腺苷,最终使尿酸产生增加。…2021-05-12 10:32:41
-
心肌梗死的征兆有哪些?
突发运动相关或不相关的剧烈胸痛、明显胸部憋闷或气短、胸部不适;胸痛胸闷时间超过15分钟,特别是伴有大汗、喉头发紧或发生晕厥现象时,均高度提示有严重冠心病发作可能…2021-05-11 08:39:17
-
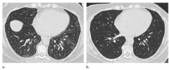
肥胖与肺功能之间的关系
近日,发表在Radiology杂志的一项研究评估了减肥手术前和术后6个月肺实质和气管的CT形态,并探讨了其与肺功能和临床症状之间的关系,为临床进一步阐明肥胖与肺功能之间的关系提供了有价值的参考依据…2021-05-11 08:35:45
-
细胞免疫治疗对癌症有效吗?
癌症免疫细胞治疗,是从我们的身体中把与癌细胞和病毒等异物战斗的免疫细胞从患者血液中分离出来,在实验室进行体外培养和修饰,回输到体内后,增强患者免疫力,特异性攻击携带特定靶点的肿瘤细胞。…2021-05-10 19:36:47







京公网安备 11010502049479号







