肥胖与肺功能之间的关系
肥胖对呼吸系统的影响包括呼吸活动及气道阻力的增加和呼吸肌的减弱,这些都可能导致限制性肺功能损伤。此外,肺容积和气体交换也会减少。现阶段,临床上也越来越多地认识到肥胖相关性哮喘的发生,脂肪组织中的炎症介质被认为是气道炎症的驱动因素。
肥胖患者中往往同时存在复杂的多因素阻塞性和限制性肺功能损害模式,然而这些情况通常会在减肥后得到改善。一些研究评估了与肥胖相关的气管CT形态表现,但据我们所知,尚无前瞻性研究评估肥胖对肺和气管的影响。
近日,发表在Radiology杂志的一项研究评估了减肥手术前和术后6个月肺实质和气管的CT形态,并探讨了其与肺功能和临床症状之间的关系,为临床进一步阐明肥胖与肺功能之间的关系提供了有价值的参考依据。
本研究对51名连续接受减肥手术的患者(2011年11月至2013年11月)进行了前瞻性纵向研究。所有患者术前和术后均接受了限制性(三位置)吸气和呼气末胸部CT扫描,同时进行肺功能检测、体重指数计算、 mMRC呼吸困难评分和Epworth评分。
两名胸部放射科医生对“马赛克征”、呼气末空气储留和气管形状的CT程度进行了评分。测量气管吸气和呼气末截面积。术前和术后比较采用配对t检验或Wilcoxon符号秩检验。采用Spearman相关和logistic回归分析CT表现与功能和症状指标的相关性。
本研究共纳入51名参与者(平均年龄52岁±8岁[标准差];20名男性)。术前,空气储留程度与总肺活量下降的相关性最强(Spearman等级相关系数[rs] = -0.40, P = .004)。术后,“马赛克征”百分比(0%[四分位数范围{IQR}: 0%-2.5%] vs 0% [IQR: 0%-0%],P < .001)、空气储留(9.6% [IQR: 5.8%-15.8%] vs 2.5% [IQR: 0%-6.7%],P < .001)和气管塌陷(201 mm2[IQR: 181-239 mm2] vs 229 mm2[186-284 mm2],P < .001)均有所下降。
术后mMRC呼吸困难评分的改变与空气储留程度的改变(rs = 0.46, P = .001)和呼气末气管形态的改变(rs = 0.40, P = .01)呈正相关。在多变量分析中,空气储留是术后呼吸困难减少的主要决定因素(优势比,1.2;95%置信区间:1.1、1.2;P = 03)。

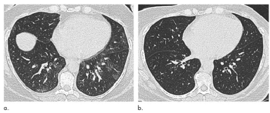
图1 51岁女性,(a)减肥手术前和(b)减肥31 kg后6个月(体重指数下降36.1%)肺部轴位平扫CT图像。术前可见的“马赛克征”在术后消失。

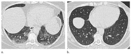
图2 与图1相同的51岁女性肺部轴位呼气末期CT图像,(a)减肥手术前和(b)体重减轻31 kg(体重指数降低31.6%)后6个月,术前患者出现了空气储留,但在手术后消失。请注意,由于膈肌偏移的差异以及由于肥胖引起的肺外限制增加对肺实质的影响,因此手术前后各部分的解剖位置会有所不同。
综上所述,本研究表明,肥胖继发的大、小气道的CT形态学改变可在减肥手术后逆转,并与临床状的改善相关,本研究为提高公众对肥胖的认识和重视提供了新的视角,同时也为进一步的前瞻性纵向研究铺平了道路。
参考:Susan J Copley,Lalani Carlton Jones,Neil D Soneji,et al.Lung Parenchymal and Tracheal CT Morphology: Evaluation before and after Bariatric Surgery.DOI:10.1148/radiol.2020191060
联系我们: 第三届世界蜂疗大会组委会
吴老师 138-1126-3153(微信同号)
宋老师 152-1078-2736(微信同号)
卓老师 152-0107-3223(微信同号)
论文投稿邮箱:120@39fengliao.com
网址: www.39fengliao.com www.39fengliao.org


39蜂疗网是中国蜂疗行业权威门户网,面向蜂疗专家、蜂疗医院、蜂疗从业者及蜂疗爱好者,提供传统中医学、针灸学、蜜蜂学、蜂疗学研究、技术、保健等领域的互联网线上线下服务。肩负“世界中医药学会联合会蜂疗专业委员会、中国民族医药学会蜂疗分会的国家级两大医疗学会秘书处工作”和蜂疗人才培养重任!
特别提醒:
1.本网收集的资料仅供患者与家属了解疾病与基本治疗原则、方法,具体治疗应遵医嘱。本网站内容仅供参考,不足之处,敬请谅解。
2、[39蜂疗网]在线专稿,转载请注明“39蜂疗网”。媒体合作请联系:010-87667632
本文来源:未知 ( 编辑:吴军)
标签:
已有 次访问,共0人喜欢 【我喜欢】

蜂疗网



蜜蜂
蜜蜂
蜜蜂
湖南娄底蜂疗人 曾伟
江苏如皋蜂疗人 刘红
江苏丹阳蜂疗人 陆九妹
宣城市祥云养蜂专业合作社
宜黄远森蜂业合作社
江西汪家养蜂场
蜂胶
蜂蜜
蜂花粉
中国蜂疗抗癌第1人












