你不知道的肛门内异物,临床如何处理?
这是严肃的科普文章,请阅读者保持纯洁的视角。
医院里经常可以遇到一些人,他们会刻意将异物插入肛门。塞进的异物则五花八门,从按摩器、手机、棒球,到茄子、萝卜、灯泡、筷子,还有黄鳝,泥鳅,蛇这些东西,不一而足。这些人以男性多见,也有女性。
据美国卫生和公共服务部(U.S.Department of Health and Human Services)统计,每年,平均有5739名美国人在肛门内发现异物后住院治疗。
在这些直肠的“外来物体”中,每年平均有19种是动物,主要包括鱼类、蛇类和老鼠等小型啮动物。
根据文献统计,肛门异物发病率,没有种族差异。因此,虽然我国没有权威地统计数据,但是,从美国的统计数据来推断,我国,每年起码有两万多人会因为在肛门内发现异物而住院。
肛门塞异物,是很危险的行为,轻者可能造成直肠粘膜受伤出血,肛门出血裂伤,肛门失禁,严重则会刺穿直肠引发腹膜炎,危及生命安全。
肛门塞异物患者通常分为自慰或自虐两种心态,自慰者很多都是潜在或隐性同性恋,最常见的就是塞长型瓜类,由于患者外部已不觉刺激,愈塞愈进去,一旦塞进肛门,肛门有括约肌,而且至乙状结肠处有弯曲而不易取出,往往会造成肠梗阻而危及生命。这些异物经常需要手术取出。
下面我们来看看常见的这些直肠异物。为了保护病人的隐私,X光片已经经过技术处理,看不出任何病人的信息。

这是一个啤酒瓶。男性。
上面是一个啤酒瓶在大肠里。病人是男性。这是常见的肛门内异物。
这种情况,往往只要给病人打上全身麻醉,肛门松弛后,就可以用卵圆钳经过肛门把啤酒瓶拉出来。

大肠里的擀面杖。男性
这是做饺子皮用的擀面杖。对,全部塞进去了。你知道怎么看男女吗?看骨盆的角度。
取出的方法如同上面。

这个是什么瓶子?
这也是一个玻璃瓶。也需要麻醉下取出来。

塞进直肠的灯泡。这个是女性病人。
塞进直肠的灯泡。
灯泡大头先塞进去,自己根本就取不出来。
别说把灯泡塞到肛门里去,就是塞到嘴巴里,没有医生帮助,自己也取不出来!亲,千万别尝试把灯泡塞到嘴巴里啊。

也是一个白炽灯灯泡,是小头先塞进去。看出来男女了吗?
这也是一个白炽灯灯泡,是小头先塞进去老外灯泡的说明书上,有不要把灯泡塞进嘴巴的说明,说塞进去自己取不出来。
类似的还有圆形的球类的异物。

这是一个直径8厘米的玻璃圆球。
直肠里塞了灯泡或者圆球,是肛门自慰人群的常见意外。
要取出灯泡,需要肛门充分松驰,才能取出来。可以在肛门处打局麻,但是效果不好,不够松,可以打腰麻或者硬麻,当然,最好是全麻,就可以有满意的肛门松驰。
其次,就是选用合适工具。
大家知道,胎儿够嫰吧,需要用产钳拽出来的时候,也不会拽坏,因为它受力均匀。

上面图片是产钳,从直肠里把直径8厘米的圆球拽出来。
产钳原来的用法是助产。
只要产钳能够夹住灯泡或者圆球,把肛门扩大,可以轻松把灯泡拽出来。不用担心灯泡会碎了。当然,为了保险起见,可以在直肠与肛门处打 润滑油如石蜡油,有润滑后,会更容易拽出来。
这样做,就不用开膛剖肚取异物了。毕竟,开腹手术创伤太大了。
产钳大法,历经多次取灯泡了。可惜当年我们没有拍照手机或者相机,所以没有留下照片。
同样的道理,产钳可以把大部分直肠异物给拽出来。
如今提倡男女平权,产钳也不能只给女生用啊。

12个熟鸡蛋。
直肠和乙状结肠里面,塞满了12个去掉鸡蛋壳的熟鸡蛋。这个取出来比较容易。

玻璃大瓶子
这是一个玻璃大瓶子。塞得相当深了,只有切开肚子取出来啦。

可怜的眼镜。
这玩意大家认识吧,这个东西塞进去,还真不多的。是不是主人想要大肠做文艺青年呢?

诺基亚3310手机
这是诺基亚3310手机,给这个手机打电话,还能够震动呢。现在的孩子可能已经不知道这个手机了。主人把它塞进去,主要是想利用它的震动功能。

杯子。
这个还是比较常见的,认得出来吗?

男性病人,也是个杯子。
这个也是一个玻璃杯。

高脚酒杯
这个是一个高脚酒杯。

谁认得出这个是什么?
这是什么呢?好像里面还有电池。所以啊,淘宝上买的工具,还是要合理使用啊。

六神花露水瓶子。
这是最常见的花露水瓶子。

这么大爷能塞进去。
速溶咖啡的罐子。

来电池了。
一节一号电池。

像什么?
你们看看这是什么?

芝麻开门
塞了钥匙进去,难道是要叫肛门芝麻开门?

这个是什么
这个是什么,我忘记了,你们认认看?

像不像陀螺?
这是一个专门用于肛门自慰的性用品—肛塞。主人把它塞得太里面了。

透视下从肛门里夹取直肠里的东西

马桶刷在直肠里。

直肠和乙状结肠里有一只手。
这只手实在太大了,已经把肠子撑破了,只好开腹取出来。

开腹取出来后,发现是一只塑料手。

洗澡用的莲蓬头
上面是洗澡用的莲蓬头,因为有钩,只好开刀取出来。

上面是手术取出来的莲蓬头。
上面这些肛门内异物,大多是物体,相对来说好处理。
但是,下面的就麻烦了。

一只松鼠在直肠里。

松鼠把他的直肠抓破了,最后松鼠死在他的直肠里,医生只好给他开刀取出来了。
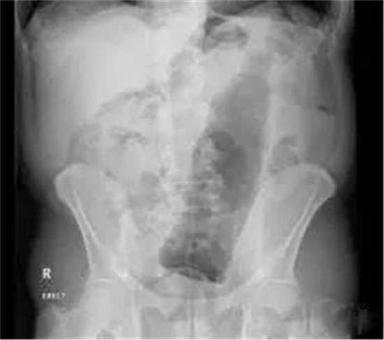
在我国,最常见的,出现在直肠里的动物是黄鳝或者泥鳅。出事情最多的是黄鳝。

这条黄鳝还是雌性的黄鳝,你知道我怎么看出来的吗?
上面的病人,男,56岁,结婚很多年了,有个儿子。在人前,夫妻俩恩爱无比,一家三口其乐融融。可是,只有他自己知道的痛苦是:他是一个男同,不但是男同,还是男同里的受者。
一开始他用过茄子,花露水瓶子等一些固体物体塞肛门,倒也相安无事。有一天,他突发奇想,抓住一条黄鳝的尾巴,让黄鳝头钻到菊花里去,由于黄鳝会挣扎,有动感,有很滑,他竟然有了前所未有的快感。从此,他一发不可收拾,常常用黄鳝塞菊花。
这样做了一个月后,他又一次菊花塞黄鳝,手抓不住,竟然让黄鳝钻进了肛门里面。这黄鳝,泥土里面没洞都能够给你钻出一个洞来,进了肛门,就死命往里面钻。有人说,黄鳝为什么不想转身退出来?它也没有那个智商啊。
大肠里都是毒气和大便,不是黄鳝能够生存的地方。这黄鳝受了刺激就垂死挣扎,死命乱钻。
他那时候是痛的死去活来。《西游记》看过吧,孙悟空在铁扇公主肚子里捣乱,就是那种痛法。
这个时候,他应该马上去医院,黄鳝虽然会乱钻,但是肠道毕竟是有弹性的,钻破肠管的可能性还是不大的。黄鳝很快就会死掉。如果这个时候去了医院,医生可以给他在麻醉下,撑开菊花,用钳子钳住并拉出黄鳝。那一般也没什么事情了。
可他觉得难为情啊,不敢去医院。其实,是他多想了,一般来说,医生肯定会为他保守秘密的。
黄鳝折腾了一会儿,不动了,死了。这个时候,他肚子也不痛了。他觉得事情过去了,就盼望着自己能够通过大便把黄鳝拉出来。
第一天,他拉不出大便,肚子隐隐痛,他继续上班。
第二天,他拉不出大便,肚子很痛,还是没去医院。
第三天,他拉不出大便,剧烈腹痛。去了一个小医院,告诉医生,自己经常便秘,希望开点通便的药物,医生给他开了。
第4天,他拉不出大便。剧烈呕吐,剧烈腹痛。实在熬不住了,就去了一个大医院,但是,他隐瞒了自己把黄鳝塞进菊花的病史。
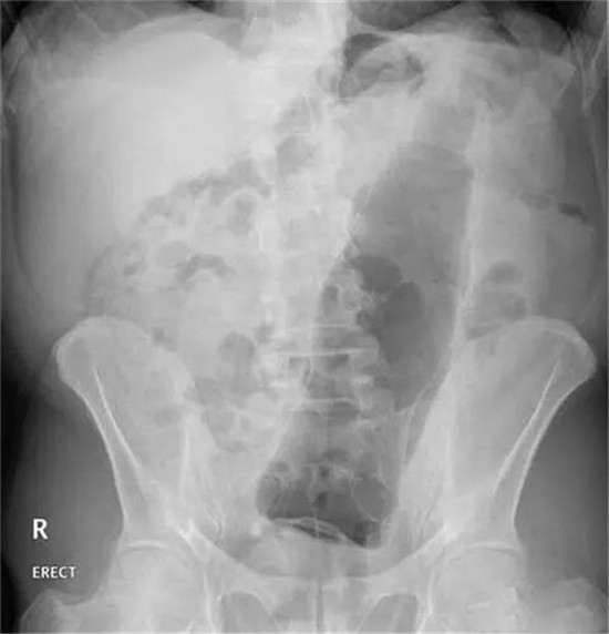
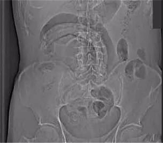
医生给他检查的时候,发现已经有腹膜炎症状,怀疑肠梗阻,拍了个片子,就是上面那个片子:一条大黄鳝在肚子里。
考虑到他已经有腹膜炎的症状,说明肠子已经有个地方破了。只能动手术了。
把肚子打开后,发现大肠破了个洞,黄鳝的头,就在那个洞里。他肚子里都是大便。他的肠子水肿很厉害。黄鳝堵住了大肠,肠梗阻,导致大肠坏死穿孔了。
这种情况下,就是把大肠的洞补起来,洞也长不好。只能造瘘了。也就是在破了个洞的地方把大肠割断,肚皮上挖个洞,大肠拖到肚皮外面,以后的大便从肚皮上排出来。等肚子里炎症消退后,再把大肠放回肚子里接回去。这样他要动2次手术。
就这样,他死里逃生了。


该病人提供的病史,是自己把活泥鳅和黄鳝生吞下去所导致。其实,医生一看泥鳅和黄鳝的颜色以及肠穿孔的部位,就知道怎么回事了。
我之所以要连续提出两例被塞入肛门内的黄鳝病例,就是要提醒大家,把黄鳝塞入肛门内,真的会要命的。
你还别说,我国每年有很多人因为把黄鳝塞入肛门而不得不来医院开刀,因为黄鳝会把肠子钻破的。
很多人会说,他在池塘游泳被黄鳝钻进去了……
其实,医生也懂是怎么回事,但是会被记者写成报道……
为了给这些病人完成病历书写又充分照顾他们的面子,我曾经教一位肛门异物的病人这么说:“我便秘了,感觉大便卡在肛门里,要用东西挖,就用玻璃瓶去捅,结果……”只要把异物的名字改一改,各种肛门内异物便可通用。
一般情况下,这些肛门异物的病人,来到医院后,医生都会给他上麻醉。把病人麻醉后,在透视下从肛门里夹取直肠里的东西。
一般情况下,用产钳可以取出大部分直肠异物。
如果从肛门里取不出,那就要开膛破肚了。
有时候,病人因为害羞而不肯来医院,耽误了时间后,会造成肠梗阻肠坏死,那肯定要开膛破肚手术啦。
几年前,“一位男子被人迷晕后肛门被塞入玻璃杯。”的视频在一些电视台播放,此事也很快成为各大网站头条。很多人呼吁警方介入。经过这些媒体报道,病人隐私被大家所知道,病人一定很尴尬和痛苦。
每年,都有大量男性肛门自慰的人把奇怪的东西塞到肛门里,拿不出来,发现太迟的时候,开膛破肚去取出来,创伤很大,可以说半条命都没有了。这种因为害羞而延误的现象,是值得警惕的。
我不歧视这一类肛门自慰的人,他们自己有他们的性癖好,让他们戒掉这种癖好,和让普通男人戒掉和女人啪啪是一样的不可能。每个人都有权利让自己安全地获得快乐。唯一的可行方法就是教他们安全地自慰。
安全的唯一办法,就是做好把手,保证每次拿得出。(比如黄鳝尾巴上穿一条铁丝把手之类。)淘宝网上也有一些工具可以买来用,相对比较安全。
万一把东西塞进肛门去却拿不出,千万要第一时间去医院求助医生。不及时去医院,堵在大肠的异物会导致肠梗阻,会导致大肠坏死。大肠坏死后再动手术,会要人命的,即使手术能够成功,也要接受2次手术,戴3到6个月的人工肛门袋,多伤人啊。
去医院看病者,不要害羞,要告诉医生实话,请相信医生一定会为病人保守秘密。
肛门自慰的人群比例其实挺高,我国的人口众多,绝对人数是个大数字。我写这一类的肛门异物让医生知道有这么一回事,怎么去取出来,让自慰者知道如何才能安全自慰,这是本文的目的。
联系我们: 第三届世界蜂疗大会组委会
吴老师 138-1126-3153(微信同号)
宋老师 152-1078-2736(微信同号)
卓老师 152-0107-3223(微信同号)
论文投稿邮箱:120@39fengliao.com
网址: www.39fengliao.com www.39fengliao.org


39蜂疗网是中国蜂疗行业权威门户网,面向蜂疗专家、蜂疗医院、蜂疗从业者及蜂疗爱好者,提供传统中医学、针灸学、蜜蜂学、蜂疗学研究、技术、保健等领域的互联网线上线下服务。肩负“世界中医药学会联合会蜂疗专业委员会、中国民族医药学会蜂疗分会的国家级两大医疗学会秘书处工作”和蜂疗人才培养重任!
特别提醒:
1.本网收集的资料仅供患者与家属了解疾病与基本治疗原则、方法,具体治疗应遵医嘱。本网站内容仅供参考,不足之处,敬请谅解。
2、[39蜂疗网]在线专稿,转载请注明“39蜂疗网”。媒体合作请联系:010-87667632
本文来源:未知 ( 编辑:吴军)
标签:
已有 次访问,共0人喜欢 【我喜欢】

蜂疗网


蜜蜂
蜜蜂
蜜蜂
湖南娄底蜂疗人 曾伟
江苏如皋蜂疗人 刘红
江苏丹阳蜂疗人 陆九妹
宣城市祥云养蜂专业合作社
宜黄远森蜂业合作社
江西汪家养蜂场
蜂胶
蜂蜜
蜂花粉
中国蜂疗抗癌第1人












