乳房的按摩,实际上就是捏葡萄!
湖北武汉48岁的朱女士未婚未育。半年前,她在体检时发现右侧乳腺内有一个2厘米大小的包块,最近一段时间自觉包块变大了,一周前到武汉市第一医院甲乳外科就诊,确诊为乳腺浸润性癌,接受了全乳切除和淋巴结清扫手术。
乳房没了,但这场大抢救却依旧在进行。医生在对她的左侧乳房进行乳腺X线检查时,发现里面全部都是细小如沙子一样的钙化灶,布满整个乳腺。

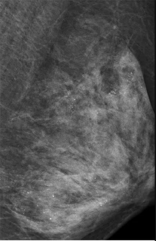
在X光片下,朱女士的乳腺里
满是星星点点的钙化灶
满是星星点点的钙化灶
究竟是什么原因造成的呢?为寻找病因,医生详细询问了病史:“是不是做过什么治疗?”朱女士一一否定。
朱女士告诉医生,自己一向注重保养,这些年一直在外面做精油推拿按摩,保养胸部。
医生分析,极有可能是按摩师用力不当损伤了腺叶乳管,导致乳腺出现坏死性细小点状钙化。
其实这样的悲剧已经发生多起了
随便一查,网上很多这样的新闻

乳房是这个样子的



乳房的按摩,实际上就是捏葡萄!
39蜂疗网提醒,女性在经期前后出现乳房胀痛是正常的,这是体内激素水平变化所致。
如果出现严重的胀痛不适,应当及时到正规医院找医生诊治,不建议盲目接受按摩治疗。万一有肿块,很可能在按摩刺激下短时间内迅速增大,甚至破溃扩散。
这些坑人项目千万别信!
爱美之心人皆有之,现在不少养生馆、美容院,都有这样的按摩项目。
但一些不良商家为了赚钱,用一些看起来高大上的项目来欺骗你,不仅达不到美容的效果,甚至伤害身体。
01
卵巢保养
不少美容院都会宣传“卵巢保养”的种种好处:健康卵子、延缓衰老、调节痛经、良好睡眠、增强性趣……看到这么多功效,大家都会心动一下。可实际上,“卵巢保养”不仅没有用,甚至还暗藏风险。
正常的卵巢,是按摩不到的!
很多美容院所说的卵巢按摩,其实就是抹点精油或药膏,按摩一下。实际上,因为卵巢位置在盆腔深处,一般按摩是根本触及不到卵巢的。
这些“美容按摩师”们真的只是在给你揉肚子。如果真的摸到了,那说明卵巢可能已经出问题,随意乱揉不仅不能保养,反而可能会按出事。

卵巢位置示意图
02
乳房保健
很多美容院都宣称:乳房按摩可以治疗乳腺增生、乳腺纤维腺瘤等疾病,并且还有丰胸项目。
乳房乱按是会出事的。
乳腺增生主要和月经周期的激素水平变化有关,临床上95%的乳腺小叶增生不会癌变,绝经后也会慢慢好转,并不需要所谓的按摩保养。乱按反而会损伤乳腺!

排毒养生
“排毒养生”也是很多美容院的重头戏,从肾脏排毒、肝脏排毒再到大肠排毒,火疗、水疗、汗蒸……可谓是花样百出。
实际上人体不需要所谓的“排毒”。
首先,人体并没有什么毒 。出汗、排便……都是正常的新陈代谢过程,一些代谢废物会随之排出,但和排毒没什么关系。
其次,就算环境中有一些有毒有害的物质,我们还有皮肤、肝脏、免疫系统等器官来帮我们抵抗或清除它们。”
各种花式排毒不可信
04
淋巴排毒
淋巴如果出了问题,那么人体的免疫系统也会遭到威胁,所以淋巴排毒这种护肤疗程也是美容院常客。他们声称能排毒,刺激微循环,提升免疫力,舒压……
这些功效都是想象出来的。
淋巴被病毒入侵的确会产生各种问题,但是想要把病毒排出也不是靠按摩淋巴就能获得的,护肤品更不可能从皮肤渗透到淋巴里杀死细菌病毒。
05
快速美白
有些女性对美白的痴迷程度可谓疯狂,可以不计一切代价去美白,而且又没有耐心,所以号称能快速美白的项目和产品就出现了。
这样的产品分外涂和内服,都有副作用。
外涂的产品大多含有铅汞,甚至激素,所以近年来皮肤科有越来越多激素依耐性皮炎患者,表现为面部皮疹、发炎、发红、发烫,对热越来越不耐受,出现红血丝等症状。当皮肤屏障受损,还会爆发黄褐斑。

联系我们: 第三届世界蜂疗大会组委会
吴老师 138-1126-3153(微信同号)
宋老师 152-1078-2736(微信同号)
卓老师 152-0107-3223(微信同号)
论文投稿邮箱:120@39fengliao.com
网址: www.39fengliao.com www.39fengliao.org


39蜂疗网是中国蜂疗行业权威门户网,面向蜂疗专家、蜂疗医院、蜂疗从业者及蜂疗爱好者,提供传统中医学、针灸学、蜜蜂学、蜂疗学研究、技术、保健等领域的互联网线上线下服务。肩负“世界中医药学会联合会蜂疗专业委员会、中国民族医药学会蜂疗分会的国家级两大医疗学会秘书处工作”和蜂疗人才培养重任!
特别提醒:
1.本网收集的资料仅供患者与家属了解疾病与基本治疗原则、方法,具体治疗应遵医嘱。本网站内容仅供参考,不足之处,敬请谅解。
2、[39蜂疗网]在线专稿,转载请注明“39蜂疗网”。媒体合作请联系:010-87667632
本文来源:未知 ( 编辑:吴军)
标签:
已有 次访问,共0人喜欢 【我喜欢】

蜂疗网


蜜蜂
蜜蜂
蜜蜂
湖南娄底蜂疗人 曾伟
江苏如皋蜂疗人 刘红
江苏丹阳蜂疗人 陆九妹
宣城市祥云养蜂专业合作社
宜黄远森蜂业合作社
江西汪家养蜂场
蜂胶
蜂蜜
蜂花粉
中国蜂疗抗癌第1人












